Спасательный вертолет эвакуирует Линдси Вонн после падения во время женского спуска на зимних Олимпийских играх в Милане Кортина 2026 года в горнолыжном центре Тофане 8 февраля 2026 года в Кортина-д'Ампеццо, Италия. Getty Images
Сегодня, в воскресенье, американка Линдси Вонн упала на трассе скоростного спуска всего через 13 секунд после старта, положив конец своей олимпийской мечте. «Королева скорости» стартовала 13-ой.
Она допустила ошибку, зацепив правой рукой третьи ворота, полетела боком в воздухе и ударилась головой о землю. Она была в сознании, но не встала, а кричала, что не может снять лыжи.
Вся семья Вонн была на трибуне, включая ее отца, Алана Килдоу. Мертвая тишина висела в горнолыжном центре Тофане в Кортина-д'Ампеццо, пока Линдси сидела на склоне, а затем медики оказали первую помощь 3-кратной олимпийской медалистке. Когда спортсменку эвакуировали вертолетом, толпа зрителей встала, чтобы аплодировать ей.
После долгой паузы началось разбирательство, насколько серьезно было падение.
«Линдси Вонн упала на олимпийском спуске и будет обследована медицинским персоналом», - вот короткое заявление в социальных сетях команды США по лыжам и сноуборду.
После падения 30 января в Кран-Монтане на трассе Кубка мира был большой риск соревноваться на Играх в этом году.
41-летняя американка утверждала, что полностью разорвала крестообразную связку, но уверена, что может провести гонку с помощью брейса. И она проехала два тренировочных заезда и была настроена соревноваться на самом высоком уровне.
Перед выходом на пенсию в 2019 году Вонн соревновалась с разрывом боковой коллатеральной связки, тремя переломами большеберцовой кости и ушибом кости, и все же завоевала бронзовую медаль. Теперь у нее одно титановое колено, хотя в настоящее время повреждено другое.
«Просто попасть на эти Олимпийские игры было путешествием, в которое некоторые не верили с самого начала», - писала Вонн в социальных сетях поздно вечером в субботу. «Я ушла на пенсию на 6 лет, и из-за частичной замены коленного сустава у меня был шанс еще раз посоревноваться. Но зачем? Все задают мне этот вопрос. Но ответ прост... Я просто люблю горные лыжи. Я не ищу смысла, внимания или денег. Я точно знаю, кто я, и я точно знаю, из чего я сделана», - сказала она.
Вонн заняла третье место в первой тренировке в субботу, которую в итоге отменили из-за плохой погоды. «Думаю, что это хороший результат», - сказал Аксель Лунд Свиндал. «Завтра гонка, и это Олимпийские игры, и девушки будут давить сильнее. Так что все, вероятно, пойдут быстрее, а это значит, что Линдси тоже нужно будет идти быстрее. Она молодец, но думаю, что у нее есть еще одна передача».
«Завтра я буду участвовать в своем прощальном олимпийском спуске, я не могу гарантировать хороший результат, но могу гарантировать, что отдам все, что у меня есть», - написала она в Instagram в субботу. «Несмотря ни на что, я уже выиграла».
Коллеги-спортсмены очень эмоционально восприняли воскресное падение, беспокоясь о повреждениях, который могла получить Вонн. «Мы все знаем о трудностях, через которые Линдси проходила в последние дни, я думаю, что она просто слишком рисковала, и именно поэтому случилась такая авария», - сказала Eurosport двукратная олимпийская золотая медалистка Тина Мазе.
«Всем трудно это видеть, и особенно ее семье, ее товарищам по команде и всем, кто с ней работает. Это ужасно для всех».
Сестра Вонн Карин Килдоу сказала NBC, что на падение было страшно смотреть. Она также сказала, что Линдси не пожалеет о своем решении соревноваться. «Она всегда идет на 110%, не умеет меньше, поэтому я знаю, что она вложила в это все свое сердце, и иногда такое случается», - сказала Килдоу.
«Это очень опасный вид спорта, и в игре много переменных, поэтому я не знаю точно, что произошло, но это выглядело как довольно тяжелое падение, так что мы просто надеемся на лучшее».
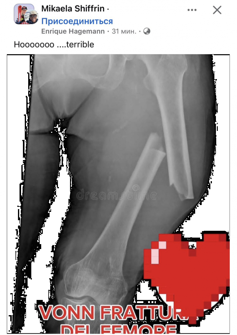
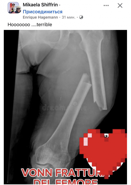
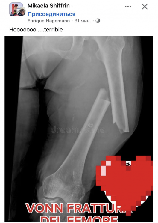
Диагноз - перелом бедра.






Обидно за такую спортсменку и человека ((.